L'ennui, le DMN et le bonheur
Publié par Laurent Vercueil, le 24 février 2016 1.1k
L’ennui est-il le propre de l’homme ? Pascal et sa théorie du divertissement, et Maine de Biran, encore plus explicitement, ont pointé « cette difficulté d’exister qu’on nomme Ennui ». L’ennui, c'est à dire l'existence, lorsqu’elle se résume à l’existence-point-barre. Une torture que l’être humain seul pourrait être en mesure de s’infliger. Une torture, l’ennui ? Oui, puisque les participants à l’étude de Timothy Wilson publiée en 2014 dans Science, préféraient recevoir une décharge électrique franchement désagréable (1) plutôt que de subir l’ennui de rester seul avec soi-même et sans rien faire pendant quinze minutes (2). Tout, plutôt que de rester en face de l’existence nue, à subir la contingence de pensées relâchées : « Qu’est-ce que je peux faire, je sais pas quoi faire » ânonnait Anna Karina dans le film de Godard....
L’ennui taraude, il a un impact sur la qualité de la vie et la qualité même du moment vécu. Dans une enquête menée auprès d’utilisateurs d’une application de smartphone conçue pour mesurer le bonheur présent, les participants étaient interrogés sur ce qu’il faisait au moment où ils recevaient l’enquête et devaient évaluer la joie ressentie (happiness) au cours de cette activité, sur le moment. L’étude montrait que dans 46% du temps, le sujets n’étaient pas occupés à une tâche spécifique (ou s'en était détournés), mais se livraient à… rien, soit, du vagabondage mental (2). Les auteurs de l’étude, les psychologues Killingsworth et Gilbert de Harvard concluent : “A human mind is a wandering mind, and a wandering mind is an unhappy mind”. Vagabonder, même mentalement, n'est pas toujours heureux...
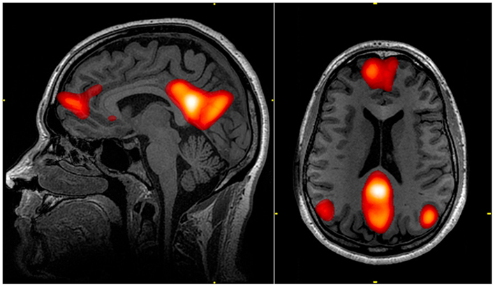
Or, il se trouve que l’ennui est à l’origine de l’une des plus grandes découvertes des neurosciences de ce début de XXIème siècle. Cette découverte peut être attribuée à Markus Raichle, l’un des pères de l’imagerie fonctionnelle cérébrale. A l’aide de caméra à positrons ou par l’IRM, le cerveau devient accessible dans son fonctionnement, et la dernière décennie du XXème siècle assiste à l’explosion de la cartographie fonctionnelle, les tâches cognitives étant associées à l’activation de structures spécifiques. La méthode consiste alors à contraster l’activité étudiée (lire, regarder, bouger un doigt, etc…) avec le repos.
La soustraction des modifications observées dans le cerveau lors de l'exécution de la tâche, d’avec celles correspondant à l’état de repos étaient censées refléter les activations liées à cette tâche spécifique. Sauf que Raichle fait observer qu’un « repos » du cerveau n’existe pas, à proprement parler. Et que la consigne est passé aux sujets d’études « à présent, ne faites rien », n’est jamais appliquée littéralement. Si je ne dois rien faire… ben, je pense. A rien, mais, de fait, à rien de particulier. C’est-à-dire que dans cette machine, allongé, sans rien à faire, je m’ennuie, et je pense à rien de spécial. Raichle montrait alors qu’un cerveau qui ne fait rien, qui n’est engagé dans aucune tâche spécifique, active cependant un réseau incroyablement stable et reproductible, comprenant des aires cérébrales distribuées dans les régions frontales et pariétales, qu’il appelle le réseau du mode par défaut (« default mode network », DMN) parce qu’il constitue, en quelque sorte, l’écran de veille de notre matière grise (4).

Depuis sa découverte, le DMN a suscité de nombreux travaux qui tentent de déterminer si des variations pourraient être observées dans cette activité par défaut et si ces variations représenteraient des marqueurs d’états : quelle forme prend le DMN au cours des troubles psychiatriques (dépression, schizophrénie…) ? Lors des troubles cognitifs ? etc.
Et si l'ennui, le DMN et le bonheur se trouvaient liés, intimement liés, dans la compréhension fine du bruit de fond qui agite continûment nos synapses et les membranes de nos neurones ?
>> Références
- Les participants auraient été prêts à payer 5 dollars pour ne pas subir cette décharge électrique
- Wilson TD et al. Just think: The challenges of the disengaged mind. Science 2014:345, 6192, pp. 75-77
- Killingsworth and Gilbert. A Wandering Mind Is an Unhappy Mind. Science 2010: 330, 6006, pp. 932
- Les travaux de Raichle sur le DMN sont nombreux. L'un des premiers est celui de la revue PNAS, en 2001 : A default mode of brain function. PNAS 2001; 98: 676-682. une vidéo de M. Raichle sur le sujet
